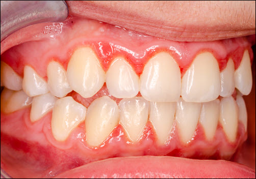
Gingivitis is the earliest stage of gum disease, marked by redness, swelling, and bleeding gums. While common, it is preventable and reversible with proper care. Understanding the causes and adopting preventive strategies protects oral health and prevents progression to more serious conditions. By making small changes in daily routines, patients safeguard both their gums and overall wellness.

Causes of Gingivitis

The main cause of gingivitis is plaque buildup. Plaque is a sticky film of bacteria that forms on teeth after eating. If not removed by brushing and flossing, it hardens into tartar, irritating gums and triggering inflammation. Poor oral hygiene, smoking, and certain medications increase risk. Hormonal changes, such as those during pregnancy, also make gums more sensitive. Recognizing these risk factors allows patients to take proactive measures before gum health declines.

Gingivitis2

Symptoms to Watch For

Early signs include red, swollen gums that bleed during brushing or flossing. Persistent bad breath and tenderness may also appear. Because gingivitis often causes little pain, patients may ignore symptoms. However, untreated gingivitis can progress into periodontitis, leading to irreversible bone loss and tooth loss. Early detection is critical for maintaining healthy gums and preventing complications.

Preventive Measures

Brushing twice daily with fluoride toothpaste removes plaque effectively. Flossing once daily cleans areas that brushes cannot reach. Antimicrobial mouthwash reduces bacterial load and freshens breath. Regular dental checkups allow professionals to detect gingivitis early and perform cleanings to remove tartar. Lifestyle changes, such as quitting smoking and maintaining balanced nutrition, further protect gums. Hydration also helps by stimulating saliva, which naturally defends against bacteria.

Professional Treatment

When gingivitis develops, dentists perform professional cleanings to remove tartar and plaque buildup. Patients may also receive personalized hygiene instructions. With consistent care, gingivitis typically reverses within weeks. Ignoring treatment risks escalation to periodontitis, which is more complex and costly to manage.

Gingivitis stems from plaque buildup but is entirely preventable. By practicing good hygiene, attending regular checkups, and addressing risk factors, patients maintain strong, healthy gums. Prevention not only protects oral health but also supports overall well-being.